肺がんの初期症状はある?レントゲンでわかる?異常なしでも安心できない理由
東京駅から徒歩7分、早期肺がんの日帰り手術を専門とする「東京日本橋 早期肺がん日帰り手術クリニック」です。
肺がんは日本で多くみられるがんの一つですが、初期の段階では症状がほとんど現れないことが特徴です。そのため、多くの方は
- 健康診断
- 人間ドック
- 胸部レントゲン検査
などをきっかけに肺の異常を指摘されます。一方で
- 「レントゲンで異常なしと言われたけれど本当に大丈夫なのか」
- 「肺がんはレントゲンで見つかるのか」
と不安に感じる方も少なくありません。胸部レントゲン検査は肺の状態を確認する基本的な検査ですが、すべての肺がんを見つけられるわけではありません。
この記事では
- 肺がんの初期症状
- レントゲンで肺がんが見つかる場合
- レントゲンで見つかりにくい場合
- レントゲンで異常なしでも注意が必要な理由
- レントゲンとCT検査の違い
について解説します。
- 1. 肺がんの初期症状はほとんどない
- 2. レントゲンで肺がんが見つかることもある
- 3. レントゲンで肺がんが見つかりにくい場合
- 3.1. すりガラス影(淡い陰影)
- 3.2. 小さな肺がん
- 3.3. 心臓や骨の陰に隠れる場合
- 4. レントゲンで見逃されやすい肺がんの例
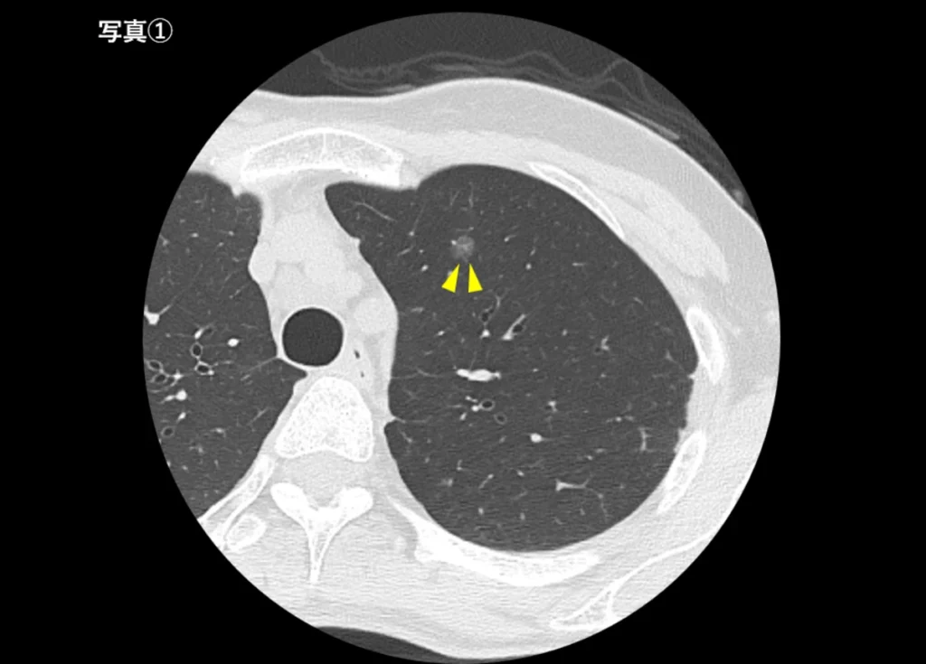
- 4.1. すりガラス影を伴う肺がん(写真①)
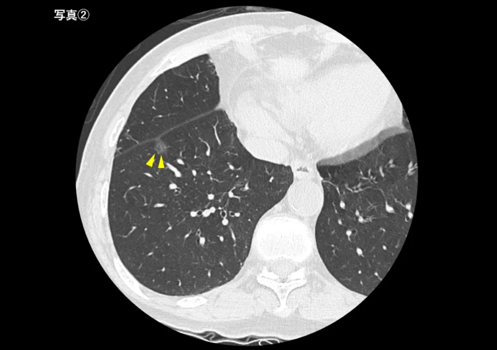
- 4.2. 小さな肺がん(写真②)
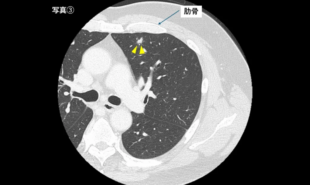
- 4.3. 肋骨の裏側にある腫瘍(写真③)
- 5. 実際にレントゲンでは見えず、CTで見つかった肺がんの例
- 6. レントゲンで異常なしでも安心できない理由
- 7. レントゲンとCT検査の違い
- 7.1. 胸部レントゲン
- 7.2. 胸部CT
- 8. まとめ
- 9. よくある質問(FAQ)
- 10. 肺がんの気になる症状は当院までご相談ください
- 10.1.1. 関連ページ
肺がんの初期症状はほとんどない
肺がんの特徴の一つは、初期の段階では症状がほとんど現れないことです。進行すると次のような症状が現れることがあります。
・長く続く咳
・血の混じった痰(血痰)
・胸の痛み
・息切れ
・声のかすれ
しかし、これらの症状は進行してから現れることが多いとされています。そのため肺がんは症状ではなく、健康診断などの検査で偶然見つかることが多いがんといわれています。
実際に、胸部レントゲン検査で肺の影が指摘され、その後のCT検査で肺がんと診断されるケースも少なくありません。
レントゲンで肺がんが見つかることもある
胸部レントゲン検査では、肺に腫瘍がある場合、その部分が「影(異常影)」として写ることがあります。特に次のような場合には、レントゲンでも比較的見つかりやすいことがあります。
・腫瘍がある程度大きくなっている
・肺の外側(末梢)にできている
・心臓や骨と重ならない位置にある
このような場合、健康診断や人間ドックのレントゲン検査で異常影が指摘され、胸部CT検査などの精密検査が行われます。つまりレントゲンは肺がんの可能性を見つける入り口となる検査として重要な役割を持っています。
レントゲンで肺がんが見つかりにくい場合
一方で、レントゲンでは見つけにくい肺がんもあります。
すりガラス影(淡い陰影)
初期の肺腺がんでは、すりガラス影(ground glass opacity)と呼ばれる淡い影として現れることがあります。このような病変はレントゲンでは目立ちにくく、CT検査で初めて確認されることがあります。
小さな肺がん
早期肺がんは数ミリ〜1cm程度の大きさのこともあり、レントゲンでは確認できないことがあります。
心臓や骨の陰に隠れる場合
肺の中央付近や心臓の近くにある病変は
- 心臓
- 大血管
- 肋骨
などの陰影と重なり、レントゲンでは判別が難しいことがあります。そのため、レントゲンだけでは肺がんを完全に否定することはできません。
レントゲンで見逃されやすい肺がんの例
レントゲンでは異常が指摘されなくても、CT検査で肺がんが見つかることがあります。
代表的な例には次のようなものがあります。
すりガラス影を伴う肺がん(写真①)
早期の肺がんでは、淡くぼんやりとした影として現れることがあります。このような病変はレントゲンでは見つけにくいことがあります。

小さな肺がん(写真②)
数ミリ〜1cm程度の小さな腫瘍は、レントゲンでははっきり写らないことがあります。

肋骨の裏側にある腫瘍(写真③)
肋骨と重なる位置の病変は、レントゲンでは判別が難しいことがあります。

実際にレントゲンでは見えず、CTで見つかった肺がんの例
実際の臨床では、健康診断の胸部レントゲン検査では異常が指摘されなかったものの、胸部CT検査で肺がんが見つかるケースがあります。
例えば、健康診断のレントゲンでは「異常なし」と判定されたものの、その後の胸部CT検査で肺の末梢に8mm程度のすりガラス影が見つかったケースがあります。
この病変はレントゲンでは確認できませんでしたが、CT検査では淡い陰影として認められました。その後の経過観察で徐々に大きくなり、最終的に早期肺腺がんと診断されました。
このように、早期肺がんの中にはレントゲンでははっきり写らないタイプの病変もあります。そのため、症状やリスクがある場合には、必要に応じて胸部CT検査で詳しく調べることが重要になります。
レントゲンで異常なしでも安心できない理由
以上のように、レントゲンで異常がなくとも、安心はできない理由として
- 早期肺がんは症状がないことがほとんど
- レントゲンで写らない肺がんがある
この2点が挙げられます。
レントゲンとCT検査の違い
胸部レントゲンと胸部CTは、どちらも肺を調べる検査ですが、得られる情報が大きく異なります。
胸部レントゲン
- 胸部を1枚の画像として撮影
- 短時間で撮影できる
- 健康診断で広く行われている
- 肺の異常を大まかに確認する検査
胸部CT
- 体を輪切りにした断面画像
- 小さな病変も確認しやすい
- レントゲンで見えない陰影も評価できる
そのため、レントゲンで異常が疑われた場合や症状が続く場合には、CT検査による詳しい評価が重要になります。
まとめ
肺がんは初期の段階では症状がほとんどないことが多く、健康診断などの検査で偶然見つかるケースが少なくありません。胸部レントゲン検査は肺の状態を確認する基本的な検査ですが
- 小さな病変
- すりガラス影
- 心臓や骨と重なる病変
などは見つけにくいことがあります。そのため
- 気になる症状がある
- 喫煙歴などのリスクがある
場合には、胸部CT検査で詳しく調べることが重要です。
よくある質問(FAQ)
-
肺がんの初期症状はありますか?
-
肺がんは初期の段階では症状がほとんど現れないことが多いとされています。進行すると、咳、血痰、胸の痛み、息切れなどの症状が現れることがあります。
-
肺がんはレントゲンで見つかりますか?
-
胸部レントゲン検査で肺がんが見つかることはあります。ただし、小さな腫瘍や淡い陰影などはレントゲンでは見つけにくいことがあります。
-
レントゲンで異常なしなら肺がんはありませんか?
-
レントゲンで異常がなくても、肺がんを完全に否定できるわけではありません。小さな病変や心臓の陰に隠れた病変などは、レントゲンでは確認しにくいことがあります。
-
肺がんはCT検査の方が見つかりやすいですか?
-
胸部CT検査は肺を断面画像として詳しく確認できるため、小さな病変やレントゲンで見えにくい陰影も評価しやすい検査です。
肺がんの気になる症状は当院までご相談ください

東京駅から徒歩7分、日本橋駅直結の「東京日本橋 早期肺がん日帰り手術クリニック」では、早期肺がんに対して、日帰りでの肺部分切除手術による根治を目指した治療を行っています。
当院では、早期肺がんの日帰り手術に加え、肺がんの適切な診断にも力を入れています。診断から治療方針の検討まで、肺がん治療を専門とする呼吸器外科医と麻酔科医が連携し、患者さまの状態に応じた判断を行っています。
- 気になる症状があり、肺がんの可能性があるのかどうかを専門医に確認してほしい
- 症状が続いており、このまま様子を見ていてよいのか判断できず、不安を感じている
- 健康診断で異常を指摘されたが、次にどの医療機関を受診すればよいかわからない
- 手術を検討しているが、日帰り手術ができるか相談したい
- 肺がん治療を専門とする医師の意見を聞いてみたい
このようなお悩みをお持ちの方から、当院には多くのご相談が寄せられています。
ご来院が難しい方に向けて、24時間対応の無料メール相談・LINE相談もご用意しております。肺の陰影や肺がんについて不安がある場合には、お一人で抱え込まず、まずはお気軽にご相談ください。


