医療コラム

肺がん検診(健康診断)で「要精密検査」と言われたら?

肺がん検診(健康診断)で「要精密検査」と言われたら?

胸部X線で異常を指摘されたときに知っておきたいCT検査

健康診断の結果を見て「胸部X線 要精密検査」と書かれていると、多くの方が大きな不安を感じます。

  • 肺がんではないのか
  • すぐに検査を受けるべきなのか
  • どこで検査を受ければよいのか

このような疑問を持つ方は少なくありません。実際に当院にも、健康診断で胸部X線の異常を指摘され、不安な気持ちで来院される方が多くいらっしゃいます。

この記事では、健康診断で「要精密検査」と言われた場合に

  • どのような病気の可能性があるのか
  • なぜCT検査が必要なのか
  • 実際の患者さんのケース

について解説します。

胸部X線で「要精密検査」と言われる理由

健康診断の胸部X線検査では、肺に影のような異常が見えると「要精密検査」と判定されます。
指摘される内容としては

  • 浸潤影
  • 結節影
  • 腫瘤影
  • 異常陰影

などがあります。

しかし、胸部X線で影が見える場合でも、必ずしも病気とは限りません。
実際には

  • 過去の炎症の跡、現在の炎症
  • 良性の肺結節
  • 血管の重なり
  • 肋骨や筋肉の影

などが原因で異常に見えることもあります。
そのため、胸部X線で異常を指摘された場合にはCT検査で詳しく確認することが重要です。

胸部X線とCT検査の違い

胸部X線は簡便で被ばくが少なく、健康診断で広く使用されています。
しかし、X線は体を一方向から撮影するため

  • 小さな病変
  • すりガラス影
  • 血管の重なり

などを区別することが難しい場合があります。

一方、CT検査は体を輪切りの画像として確認できるため

  • 数ミリの結節
  • 炎症
  • 腫瘍の可能性

などをより詳しく確認することができます。

そのため、胸部X線で異常が疑われた場合にはCT検査が精密検査として行われます。

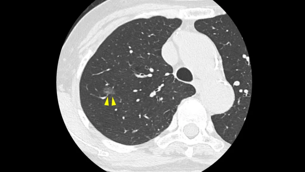
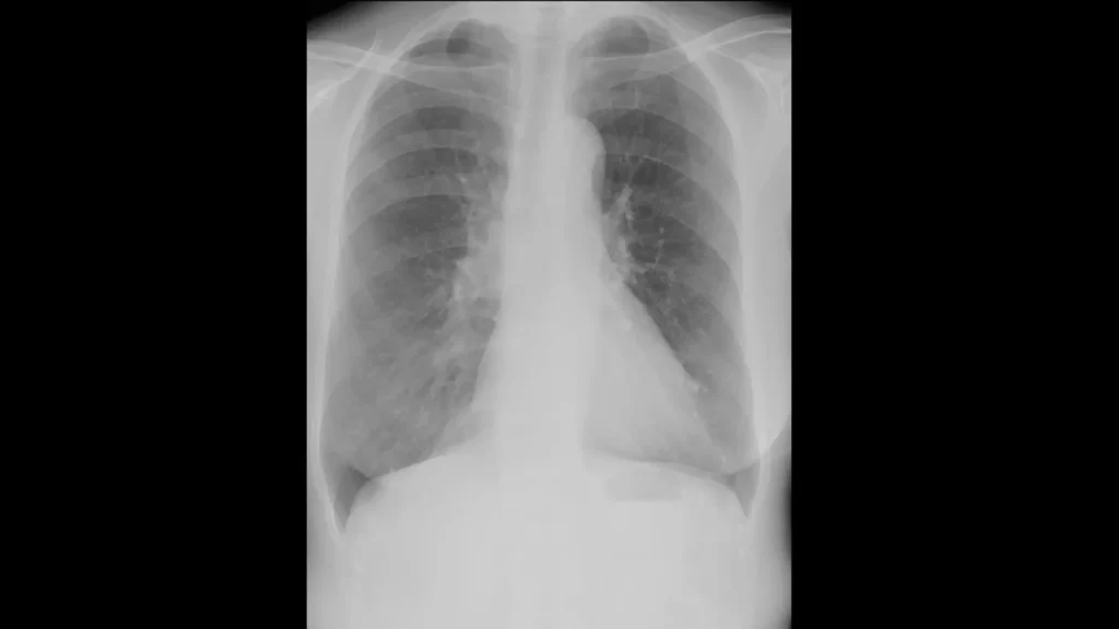
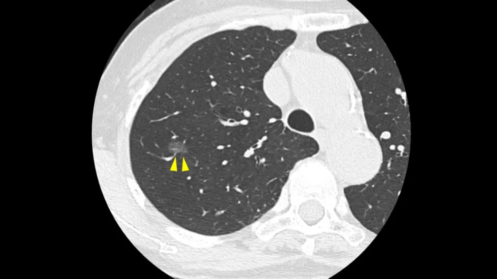
以下は実際に肺がんが見つかった患者さんのCTとレントゲンの比較です。
CTでは黄色矢印の影(すりガラス影)がわかりますが、レントゲンでは確認が難しいです。

実際のケース:健康診断で要精密検査

当院を受診された、先ほどとは別の患者さんのケースをご紹介します。

この患者さんは、長年毎年健康診断を受けていましたが、今回初めて「左上肺野浸潤影:要精密検査」と指摘されました。

近くで精密検査を受けようとしたところ

  • 指定のCT検査の予約が 2か月待ち
  • 診断結果は 数週間後

と言われ、不安な時間を過ごされていました。
そのような中でインターネット検索で当院を見つけ、受診されました。

CT検査を実施

当院では、近隣のCT検査施設と連携し、CT検査を行っています。

今回の患者さんもCT検査を受け、画像を確認した結果、悪性を疑う所見は認めませんでした。

結果を聞いた患者さんは

「早く結果を知ることができて安心しました」

とお話しされていました。

肺の検査ではCTが重要

肺の病気の中には、胸部X線では見つけにくいものもあります。

特に肺がんは

  • 初期には症状がない
  • 小さい段階ではX線で見えないことがある

という特徴があります。

そのため、肺の状態を詳しく確認するためには、CT検査が重要な役割を持っています。

CT検査はどのくらいの間隔で受ける?

今回の患者さんには、年齢や喫煙状況から1〜2年ごとのCT検査をおすすめしました。

CT検査で経過を確認することで

  • 肺の変化を早期に確認できる
  • 万が一異常が出ても早期発見につながる

というメリットがあります。

特に

  • 喫煙歴がある
  • 家族に肺がんの方がいる
  • 健康診断で異常を指摘されたことがある

という方は、CT検査での定期的な確認が安心です。

健康診断で異常を指摘されたら

胸部X線で異常を指摘された場合、すぐに重い病気というわけではありません。

しかし

  • 精密検査まで時間がかかる
  • 結果が出るまで不安が続く

という状況になることもあります。

そのような場合には、CT検査で肺の状態を確認し、早めに専門医に確認することで、不安が軽減されることもあります。

不安なときは専門医へ相談を

健康診断で

  • 胸部X線異常
  • 要精密検査

と言われたときは、多くの方が不安になります。

肺の状態はCT検査で詳しく確認することができます。気になることがある場合は、医療機関で相談することで状況を確認することができます。

肺の検査について不安がある方は、早めに専門医へ相談することをおすすめします。

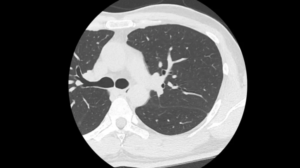
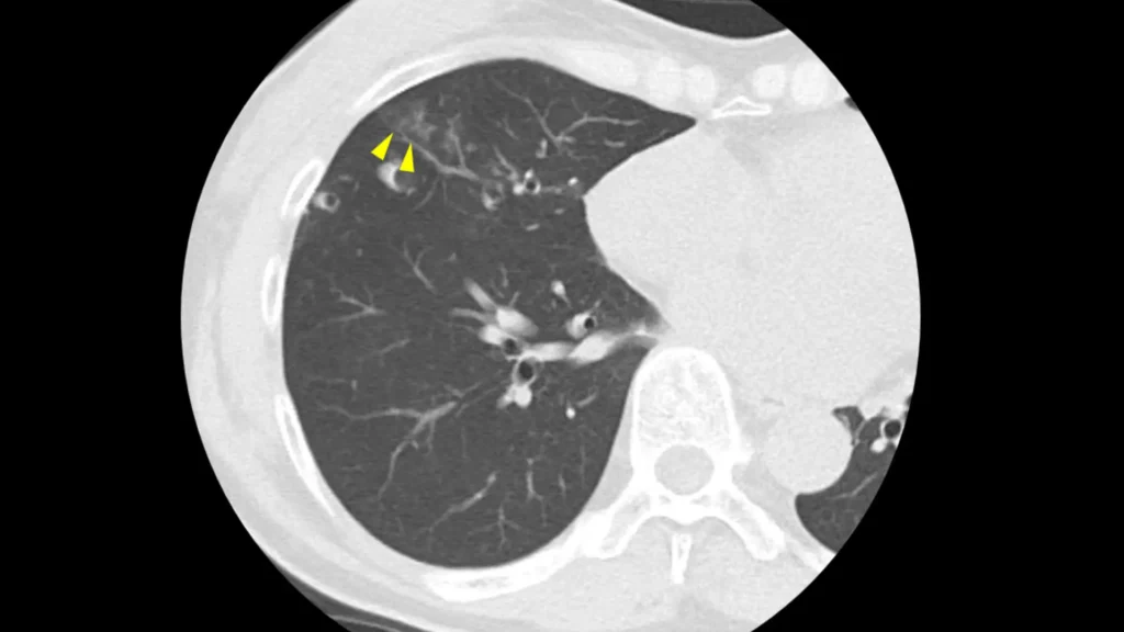
実際のCT画像所見

以下に

①:正常の肺
②:炎症の影
③:肺がん
④:③の患者さんのX線画像

を掲載します。

やはり、④のX線では肺がんを指摘するのは難しいですが、③でははっきり影がわかります。

ちなみにこの患者さんは、健診のX線では異常を指摘されませんでしたが、咳があったため心配で受診し、CTを撮ったところ肺がんが見つかりました。

よくある質問(Q&A)

健康診断で「要精密検査」と言われたらすぐ受診すべきですか?

胸部X線で「要精密検査」と指摘された場合は、なるべく早めに医療機関で相談することをおすすめします。
多くの場合は良性の影や炎症の跡であることもありますが、CT検査で詳しく確認することで原因を判断できます。

胸部X線で影があると言われたら肺がんなのでしょうか?

胸部X線で影が見える場合でも、必ずしも肺がんとは限りません。

実際には

  • 炎症の跡
  • 良性の結節
  • 血管の重なり

などが原因で影のように見えることもあります。

正確に確認するためには、CT検査で肺の状態を詳しく調べることが重要です。

CT検査はどのくらい時間がかかりますか?

CT検査自体は通常数分で終了します。
ただし、医療機関によっては

  • 検査予約までの待ち時間
  • 診断結果までの時間

がかかることもあります。

検査の流れについては、事前に医療機関に確認すると安心です。

CT検査で肺がんは見つかりますか?

CT検査は肺の構造を詳しく確認できるため、胸部X線では見えにくい小さな病変を見つけることができる場合があります。

そのため、肺がんの疑いがある場合や、胸部X線で異常を指摘された場合の精密検査としてまずはCT検査が行われます。

CT検査はどのくらいの頻度で受ければよいですか?

肺の状態や個人のリスクによって異なりますが、医師の判断により

1〜2年ごとにCT検査

を行うことがすすめられる場合もあります。

定期的に肺の状態を確認することで、異常の早期発見につながります。

肺がんか炎症か区別がつきにくい場合は、2~3か月後にCT検査を行い、影が大きくなっていないか、濃くなっていないかなどで肺がんかどうかを判断する場合もあります。

肺の影、肺がんのことは、当院へお気軽にお問い合わせください。

著者画像

この記事の監修者

東京日本橋 早期肺がん日帰り手術クリニック
院長 浅越 佑太郎
日本麻酔科学会 麻酔科指導医、日本専門医機構 麻酔科専門医
国立がん研究センター中央病院で共に研鑽を積んだ呼吸器外科医と協力し、東京日本橋に早期肺がんの日帰り手術を専門とするクリニックを開院。患者さま一人ひとりに寄り添い、身体的・精神的な負担を最小限に抑えた治療の提供を目指しています。
日本麻酔科学会 麻酔科指導医、日本専門医機構 麻酔科専門医
国立がん研究センター中央病院で共に研鑽を積んだ呼吸器外科医と協力し、東京日本橋に早期肺がんの日帰り手術を専門とするクリニックを開院。患者さま一人ひとりに寄り添い、身体的・精神的な負担を最小限に抑えた治療の提供を目指しています。
受診予約 医師へ無料相談
電話アイコン 電話予約
カレンダーアイコン WEB予約
会話アイコン 無料相談